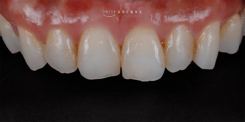
首圖就是我的美白貼片大變身啦!!!!!
上一篇分享了我怎麼決定做美白貼片的心路歷程
這篇就來分享一下過程啦!
貼片其實需要一定的時間的
比方說要先做假牙 有過渡期
過渡期之後才是真正上工!!
【美白貼片】有關於我的牙齒🦷終於鼓起勇氣做了陶瓷貼片 為什麼要做?注意事項? (板橋蒔美牙醫 薛聖儒醫生)
https://cuterosalind1016.pixnet.net/blog/post/576411644

真的大推
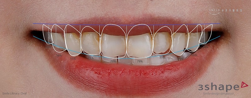
#蒔美DSD數位微笑設計
可以直接幫你模擬貼片完成的模樣
比方說有的人就是想要牙齒很白
比方說有的人的要求是希望門牙大顆一點
有的人喜歡自然一點 不想被發現有做貼片
這個系統真的超人性化
各種客製化要求都可以幫你做到喔!!

適合做貼片的人可以看上圖!!!!!
貼心建議提醒:如有牙周病或蛀牙者
請先去治療後再做貼片比較沒有後續問題喔
✅ 改變齒色 – 解決牙黃、四環黴素染色、填補物變色的狀況
✅ 牙齒微整形 – 改變牙齒的形狀(長度、寬度、大小)與排列
✅ 高密度貼合牙齒,就像天生自然牙
✅ 能確保牙齦健康,又能遠離蛀牙問題

我自己覺得做貼片
還有一個地方很重要
那就是貼片的材質!
材質好才能使用長久
我自己覺得通透感也很重要
不然死白看起來其實滿奇怪的



醫生說他們診所裡有的別的牙助
之前的貼片在其他診所做的
一年就掉了好幾顆!!
還是要請他們幫忙補
真的還是不要貪小便宜啊~
選正規的診所 信賴的醫生比較重要

這次幫我進行療程的是板橋蒔美牙醫的薛聖儒醫生
他同時也是我好友47的老公啦!!!
因為非常認真進修 超上進
雖然年紀輕輕已經有不少死忠客人!!
給他做貼片我滿放心的~


完整貼片流程從諮詢開始!
所耗費的時間依照每人情況不同會有彈性變化。
我自己貼片前後其實去了好幾次診所
所以大家要進行療程
要至少要抓一段時間~
但也其實沒有想像中麻煩啦


這中間還有請專業團隊拍照記錄
畢竟大部分的時間都張嘴巴
自己不好紀錄
有專業團隊很放心欸


比色的部分
我後來選了自然白
也真的滿適合我的膚色


這次的貼片進行療程
反而是術前的諮詢是比較花時間的
還有要先想要自己想要怎麼樣的”牙型”
也有可能有人想要女明星同款牙齒
但就要先評估一下適不適合自己的臉型


陶瓷貼片黏著過程
1.放上橡皮布障
2.陶瓷貼片試裝
3.鐵氟龍膠帶隔離
4.噴砂清潔表面
5.進行酸蝕
6.塗上表面處理劑
7.陶瓷貼片進行黏著
8.利用光固化處理
9.清理多餘黏著劑
10.隔絕空氣再照光
大概的步驟就是這樣
但太專業的東西
還是交給醫生們來啦!!
需要的時間也要預留個半天唷


施作步驟是先在牙齒表面修磨約0.3~0.5mm厚度
再將相應厚度的瓷牙貼片以專用黏劑固定於牙齒表面
藉此改善不理想的牙齒顏色、形狀以及齒縫過大問題

醫生都會很仔細地幫你黏貼片
像有一顆 原本有個黑點跑進去
後來那顆我們也是另外再重黏
醫生非常講求完美!!哈

你們看術後是不是真的差很多
那個牙齒的漂亮程度


笑起來的感覺都不一樣啦!!
也改善了我的倒微笑線
牙齒好看 更喜歡放開大笑


原本因為長期喝咖啡
齒縫都有比較偏黃的問題
換成貼片直接解決了
齒列也變得好漂亮
現在每天照喝咖啡
都不用擔心染色了哈哈哈


你們也可以上官網看看更多人的案例唷
做了真的只有後悔沒有早點做xd
以下地方也可以找得到我喔↓↓↓
喜歡我們的文章可以訂閱頻道如下↓↓↓↓↓↓↓↓
打完收工
看完文章如果覺得今天分享的內容喜歡的話
請不吝嗇幫我按個 “讚”和“推”





